Orrori Evitabili: Impianti, Connessioni, e Componenti
In breve — Gli impianti tissue-level richiedono posizionamento profondo per rispettare la biologia. Le connessioni coniche con platform switching limitano la perdita ossea. I Multi-Unit Abutment negli archetti completi prevengono disconnessioni ripetute. L’altezza dell’abutment (almeno 2mm) protegge l’osso marginale.
Summary (EN) — Tissue-level implants must be positioned at their designed depth to prevent biological space invasion. Internal conical connections with platform switching preserve marginal bone better than external connections. Multi-unit abutments in full-arch cases prevent repeated disconnections that cause bone loss.
In chirurgia implantare la fretta di consegnare un lavoro al tempo zero nasconde insidie che si manifestano mesi o anni dopo. Se vogliamo che i nostri restauri durino, dobbiamo rispettare la biologia dei tessuti perimplantari.
Se gli impianti sono utilizzati in un modo non consono alle loro proprietà intrinseche, le componenti protesiche sono poco precise o manomesse per adattarle alla situazione anatomica, e la componentistica intermedia è volutamente evitata in nome di una finta semplicità e un sicuro risparmio di denaro, il risultato sarà un compromesso.
Il tissue level posizionato male
Gli impianti tissue level nascono con un obiettivo preciso: spostare l’interfaccia protesica lontano dall’osso, a livello dei tessuti molli. Il microgap — quella zona di colonizzazione batterica inevitabile tra impianto e componente protesica, caratteristico soprattutto di alcuni tipi di connessione — viene così allontanato dalla cresta ossea.
Utilizzarli come se fossero bone level, o peggio ancora affondarli più in profondità, è un errore biologico grave (ne ho parlato anche in questo articolo sulle conseguenze biomeccaniche del malposizionamento). Quando il microgap si trova troppo vicino alla cresta, si innesca un riassorbimento osseo progressivo. Di fatto, in tali casi, parliamo di una vera e propria invasione dello “spazio biologico”, concetto prezioso in odontoiatria. La peri-implantite, in questi casi, non è un rischio: è una conseguenza prevedibile ed è dietro l’angolo .
Gli studi epidemiologici cross-sezionali lo confermano.
Un articolo importante è la revisione di Laleman e Lambert del 2024, che riassume il punto con chiarezza. La posizione del margine di restauro influenza sia la prevalenza della peri-implantite sia la risposta al trattamento della mucosite perimplantare. I tissue level con margine lontano dalla cresta ossea appaiono più favorevoli (https://doi.org/10.1111/cid.13185).
Ma allora perché li affondiamo? Per la fretta. Per il carico immediato e la ricerca della stabilità. Per compensare il riassorbimento che ci sarà comunque. È comprensibile. Ma non è giusto.

Possiamo raccontarci che funziona lo stesso. Possiamo dirci che quel riassorbimento crestale non è drammatico, se si ferma lì. Possiamo riesumare i concetti di successo implantare secondo Albrektsson e Zarb e pensare che va tutto bene.
Ma non raccontatemi che quella zona rimane pulita, e che il paziente non ha alitosi.
Non ci credo perché quegli errori li ho fatti prima di voi. Non c’è sigillo batterico e le conseguenze sono lapalissiane.
Gli impianti transmucosi devono essere posizionati transmucosi, soprattutto se hanno connessioni non particolarmente “sigillanti”. Usati in tal guisa, sono perfetti. Le immagini che seguono dimostrano che i transmucosi, se posizionati al giusto livello verticale, causano ZERO riassorbimento della cresta ossea.


Non sono fatti per invadere lo spazio biologico. Devono starne fuori.
Connessione interna, esterna e conica: studi recenti
Due network meta-analisi recenti hanno rafforzato il concetto. Camps-Font e collaboratori hanno dimostrato che le connessioni coniche interne producono significativamente meno perdita ossea marginale rispetto alle esterne o alle interne piatte a 12 mesi dal carico protesico, con meno complicazioni protesiche (https://doi.org/10.1016/j.prosdent.2021.09.029). Le statistiche sulla sopravvivenza e le complicanze biologiche, invece, erano sovrapponibili.
Caricasulo e collaboratori erano arrivati a conclusioni analoghe qualche anno prima (https://doi.org/10.1111/cid.12620).
Laleman e Lambert nel loro lavoro sono prudenti — giustamente — nel ricordare che la perdita ossea precoce non è automaticamente un predittore di peri-implantite e che le meta-analisi comparano studi molto eterogenei.
Ma la direzione dell’evidenza è chiara: le connessioni coniche interne, specialmente con platform switching intrinseco, offrono un ambiente biologico più favorevole (vedi anche Connessione Conica vs Flat 5-0).
In pratica: se usate bone level, la connessione conica interna è preferibile. Se usate connessioni esterne o flat interne, sappiate che state partendo in svantaggio biologico e dovete sempre prendere in considerazione il limite biologico del posizionamento verticale dell’impianto.
Platform switching: un’idea ottima
Il platform switching — l’uso di un abutment di diametro inferiore rispetto alla piattaforma implantare — ha basi biologiche solide. L’effetto è triplice. Il concetto è stato pubblicato da Lazzara e Porter nel 2006 (https://pubmed.ncbi.nlm.nih.gov/16515092/).
Primo: lo spostamento laterale della giunzione impianto-abutment allontana l’infiltrato infiammatorio dall’osso marginale . Secondo: le fibre collagene attorno agli abutment con platform switching si organizzano in modo circolare, stabilizzando il connettivo e proteggendo l’osso sottostante — come dimostrato istologicamente da Rodríguez e collaboratori su impianti conici nell’uomo (https://doi.org/10.11607/prd.2580) Terzo: la concentrazione dello stress meccanico si sposta dall’osso cervicale verso l’impianto stesso, anche se con un potenziale aumento dello stress sulla vite (https://doi.org/10.1111/j.1600-0501.2007.01398.x).
Sul piano clinico, Duque e colleghi hanno riportato una prevalenza di peri-implantite del 6,6% per impianti con platform switching contro il 15,6% per impianti convenzionali (https://doi.org/10.1590/1807-3107bor-2016.vol30.0005). Le revisioni sistematiche confermano una maggiore stabilità dell’osso crestale attorno agli impianti platform-switched (vedi per esempio (https://doi.org/10.1111/clr.12339).
Ponti e full-arch: l’obbligo dei Multi-Unit Abutment
Nelle riabilitazioni complesse — ponti estesi, full-arch (arcate complete) — l’uso dei Multi-Unit Abutment (MUA) non è un’opzione. È una necessità clinica nella maggioranza dei casi, con l’eccezione degli impianti dritti ad esagono esterno. È particolarmente importante per tutte le connessioni interne, e in modo assoluto per le coniche. Ed è necessario anche se gli impianti sono dritti, mentre per i “tilted” (impianti inclinati) sarebbe addirittura impossibile riuscire a realizzare una qualsiasi protesi, anche imprecisa, senza i MUA.
I MUA risolvono tre problemi in un colpo. Eliminano le tensioni meccaniche durante l’inserimento delle strutture, evitando stress sull’osso crestale. Garantiscono il sigillo biologico seguendo il principio one abutment-one time: l’abutment transmucoso viene posizionato una sola volta. E spostano l’interfaccia protesica in zona coronale, più accessibile all’igiene e fuori del complesso sovracrestale. .
Il principio one abutment-one time (Luigi Canullo (2010) https://pubmed.ncbi.nlm.nih.gov/21180681/) è geniale. Abrahamsson e collaboratori nel 1997 hanno dimostrato sui beagle che la disconnessione ripetuta dell’abutment compromette la barriera mucosale e causa riassorbimento osseo aggiuntivo (https://doi.org/10.1111/j.1600-051x.1997.tb00230.x). La meta-analisi più recente di Vatėnas e Linkevičius ha quantificato il danno: 0,4 mm di perdita ossea marginale in più nel gruppo con disconnessioni ripetute (https://pubmed.ncbi.nlm.nih.gov/34528906/). Può sembrare poco. Ma in un contesto dove ogni decimo di millimetro conta per la sopravvivenza a lungo termine, è un costo evitabile.
Mi dispiace ammetterlo, ma inizialmente ero contrario ai MUA e li volevo evitare quando riuscivo a non usare impianti tilted nei full-arch. Sbagliavo. Nelle arcate complete, e spesso anche nei ponti più corti, i MUA sono indispensabili. L’alternativa è usare impianti dritti con connessione a esagono esterno — che trasforma il problema in una soluzione efficace. Oppure interporre i MUA per convertire l’esagono interno in esterno. In entrambi i casi, la biologia ci chiede di minimizzare le disconnessioni.
Altezza dell’abutment
La review di Laleman e Lambert dedica attenzione a due parametri spesso trascurati: il profilo di emergenza e l’altezza dell’abutment.
Sull’altezza: la review di Muñoz e collaboratori (https://doi.org/10.1111/clr.14025), basata solo su RCT, ha identificato una soglia di 2 mm. Abutment alti almeno 2 mm svolgono un ruolo protettivo contro la perdita ossea marginale, permettendo la formazione dell’adesione mucosale sovracrestale. Questo effetto appare indipendente dallo spessore dei tessuti molli, anche se in caso di tessuti sottili è importante posizionare gli impianti sottocrestali (o meglio, “infracrestali”) per consentire la formazione del complesso mucosale sovracrestale.
La regola dei 4mm di Linkevičius ci viene in aiuto per stabilire la posizione verticale che protegge l’impianto dal riassorbimento osseo, sempre nel caso di connessioni affidabili dal punto di vista batteriologico. Nelle prossime immagini, dei monconi protesici relativamente lunghi su impianti a connessione conica, testimoniano l’ottimo risultato reale di questo concetto, con impianti perfettamente integrati e privi di infiltrazione infiammatoria, anche in condizioni ossee impegnative.



Saper leggere la radiografia
Chi ha l’occhio allenato sa che il destino di un impianto è spesso scritto già nelle radiografia post-operatoria. Si vedono i punti dove la struttura non calza. Dove le tensioni meccaniche sono eccessive. Dove il collega ha forzato con il cacciavite per fare entrare la protesi.
Non raccontatemi che quella è l’eccellenza. È l’arte di arrangiarsi, piuttosto.
Funziona? Sono contento per voi. Ma si può fare di meglio.
In quelle zone la biologia non perdona: la tensione si traduce in riassorbimento osseo, e lo spazio non sigillato diventa il nido perfetto per i batteri (l’osseointegrazione è un equilibrio delicato). Gli anaerobi gram-negativi, i nostri nemici, amano questi spazi chiusi, lontani dalla luce, dall’ossigeno e dal sangue. Per chi sa interpretare questi segnali, la peri-implantite futura non è un’ipotesi. È una diagnosi anticipata.
Poi, gli impianti potrebbero anche funzionare per anni, ma il riassorbimento crestale è inevitabile. E vivere con la peri-implantite non lo auguro a nessuno.
In sintesi
Scegliere la connessione corretta, rispettare il livello di inserimento progettato, usare i MUA dove servono, seguire il principio one abutment-one time ogni volta che è possibile, preferire profili concavi e abutment di altezza adeguata: non sono opzioni. Sono dei sistemi sperimentati volti a garantire la salute dei tessuti a lungo termine.
La letteratura ci dà indicazioni sempre più convergenti. Le connessioni coniche con platform switching intrinseco offrono un sigillo migliore. Gli impianti tissue level riducono la prevalenza di malattia perimplantare, se posizionati secondo progetto — e se il tessuto cheratinizzato è adeguato. I MUA nelle riabilitazioni complesse sono irrinunciabili. L’altezza dell’abutment conta.
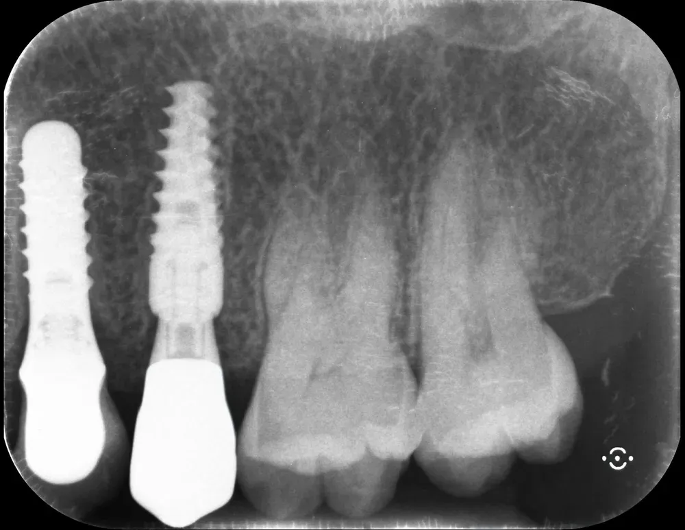
Per concludere il confronto tra le varie connessioni, l’immagine che segue è una radiografia con due impianti affiancati: un tissue-level ben posizionato fatto da un collega anni addietro e un impianto a connessione conica in posizione infracrestale con abutment della corretta lunghezza per il caso. Il secondo è un mio caso. È interessante notare come il cono dello spazio biologico sia identico. Se ben posizionati, tutti gli impianti funzionano egregiamente (l’impianto più vecchio inizia a soffrire un pochino, ma questa è un’altra storia).
Cerchi uno specialista?
Implantologia a Frosinone →Impianti dentali, carico immediato e rigenerazione ossea
Hai bisogno di un parere?
Prenota una visita nello studio del Dr. Bruschi a Frosinone. Prima visita con diagnosi completa e piano di trattamento personalizzato.
Stai valutando un impianto dentale?
Ho scritto una guida in 8 capitoli che spiega tutto quello che un paziente dovrebbe sapere prima di sedersi in poltrona. Niente marketing — solo fatti, casi studio e una checklist per fare le domande giuste.
Scarica la guidaResta aggiornato
Nuovi articoli su parodontologia, implantologia e chirurgia orale — nella tua casella email.
Commenti
Caricamento commenti...
Lascia un commento